Caries
- diariodeunahigienista

- 21 dic 2018
- 2 Min. de lectura
Actualizado: 13 ene 2019
Estudios revelan que uno de cada cuatro adultos tiene una caries sin tratar y que casi todos los adultos tendrán una caries en algún momento de su vida. En este post queremos explicaros sobre este tema y ayudaros a minimizar los riesgos de padecerlas.
¿Qué es una caries?
La caries es una enfermedad multifactorial en la que existe una destrucción de tejidos duros del diente como consecuencia de la desmineralización provocada por los ácidos que genera la placa bacteriana. Las bacterias fabrican ese ácido a partir de los restos de alimentos que comemos y no eliminamos de manera correcta.
Tipos de caries
Caries oclusal o superficial
Afectan a la parte superior de la corona. Son las más fáciles de identificar por el cambio de coloración.
Caries interproximales
Se forman en los espacios que existen entre los dientes y no son fáciles de detectar si no es en la consulta del odontólogo durante las revisiones periódicas. Es una de las zonas donde es más fácil que se acumule la placa bacteriana y los restos de alimentos.
Para evitar este tipo de caries es importante utilizar el hilo dental o los cepillos interproximales después del cepillado habitual.
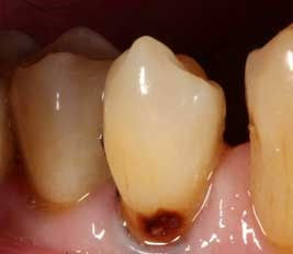
Caries radicular
Es una de las causas más importantes de pérdida de piezas dentales.
Hay que tener en cuenta que en ocasiones las encías tienden a retraerse, pudiendo llegar a dejar expuesta parte de la raíz del diente, por lo que las bacterias atacan directamente a la dentina.
Caries secundarias o recurrentes
Aparecen alrededor de los bordes de los empastes o de coronas y fundas.
La caries puede ser nueva o producirse porque han quedado restos de una caries anterior que no se ha tratado correctamente.
¿Cómo se tratan las caries?
Lo primero que debes hacer es acudir a tu dentista si presentas dolor en alguna zona de la cavidad oral, tienes sensibilidad a estímulos fríos o calientes, aparece alguna mancha de coloración anormal en tus dientes o percibes cualquier anomalía.
Para tratar las caries el dentista determinara en que grado se encuentra esta y según la determinación se deberá realizar una obturación, endodoncia o extracción.
¿Cómo minimizar el riesgo a padecer caries?
- Evita comer alimentos altos en azúcares, bebidas azucaradas y comer entre horas.
- Mantén una correcta higiene dental y utiliza complementos de higiene como el hilo dental, los cepillos interproximales, el limpiador lingual y los irrigadores.
- Utiliza pasta dental que contenga flúor.
- Acude a tu dentista para mantener revisiones periódicas.
- Aplicación de flúor en la consulta dental.










Comentarios